Restorative Crown Lengthening

Tooth structures can become compromised due to decay, fractures, or functional wear. In some cases, the cumulative damages result in inadequate tooth structure to restore a tooth adequately and predictably (such as with a crown or fillings). A restorative crown-lengthening procedure can be performed to expose more tooth structure for the required restoration.

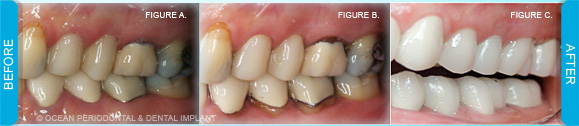
Figure A: Patient presented with recurrent decay/cavities under her existing crowns.
Figure B: The treatment plan involved fabricating new crowns. In order to remove all the decay successfully, to prevent soft tissue irritation, and to allow better crown retention, the clinical crowns were lengthened.
Figure C: Final restorations.

由於腐蝕,骨折,或功能的磨損,牙齒結構会被損害。在有些情況下,累計損失会使牙齒結構變為不足夠,恢復牙齒的原狀(如牙冠,補的牙齒)。修復牙冠暴露的程序可以讓牙齒結構恢復美麗。

圖 A: 病人反复提出衰變/她現有冠下腔..
圖 B: 治療計劃涉及製造新的冠冕。為了成功地刪除所有的衰減,以防止軟組織發炎,並能更好地保留冠,臨床牙冠被延長。
圖 C: 最終修復體

Suite 800-6091 Gilbert Road
Richmond, BC V7C 5L9 (At the Richmond Health Sciences Centre)
(Westminster Hwy & Gilbert Road)
Give us a call:
(604) 270-9088
J.W. Martin Kim Inc. BSc, DMD, Cert Perio, FRCD(C), Diplomate ABP, Certified Periodontist E. Michael Wilby Inc. BSc, DDS, Cert Perio, FCDS(BC), MRCD(C), Diplomate ICOI, Certified Periodontist Cynthia Wai Ching Yee Inc. MS, DDS, Cert Perio, FRCD(C), Diplomate ABP, Certified Periodontist
Site Map Back to Top